El diagnóstico del cáncer de mama puede desencadenarse por la sospecha clínica (identificación de alguna anomalía en la mama o pezón o por un síntoma) o posterior al reporte de un estudio de tamizaje (mastografía) con una calificación BIRADS > 4. Para hacer el diagnostico de cáncer de mama se pueden emplear diversos estudios que permitan concluir que existen lesiones de origen maligno en la mama y su extension. Los principales estudios usados en el proceso de diagnóstico son los siguientes:
Biopsia
Se le llama así a la extracción de una porción del tumor o de la lesión sospechosa con la finalidad de someterla al estudio de patología (ver más adelante). Las técnicas más comunes de biopsia son:
Trucut o aguja gruesa
Usa una aguja hueca para obtener “pellizcos” o muestras cilíndricas del tejido tumoral los cuales serán enviados al laboratorio de patología. Puede usarse ultrasonido o tomografía para guiar la aguja al sitio exacto de la lesión.
Biopsia por aguja fina (BAAF)
Usa agujas parecidas a las usadas para aplicar inyecciones. Usualmente se usan solamente para obtener material de los ganglios linfáticos (p. ej., ganglios de la axila) y conocer si están afectados con la enfermedad.
Excisional
Este tipo de procedimiento intenta retirar completamente la lesión por medio de cirugía menor. Si es una lesión pequeña, es posible que el procedimiento pueda tener un fin terapéutico ademas del diagnóstico, aunque es posible que se requiera realizar cirugías posteriores.

Estudio de patología
Es el procesamiento y visualización por microscopio del tejido obtenido por biopsia o cirugía. Por medio de este estudio se identifican las células que componen al tumor, de manera que se podría confirmar la naturaleza maligna o benigna de éste.
El abordaje diagnóstico se puede iniciar por la sospecha de algún síntoma o posterior a un estudio de tamizaje reportado BIRADS > 4.
Inmunohistoquímica
Éste es un estudio especializado que consiste en “teñir” con unas soluciones especiales (anticuerpos ligados a tinciones) el tejido tumoral obtenido previamente por biopsia o cirugía. Estas tinciones especiales identifican características de las células malignas o “receptores”. El conjunto de “colores” observados en el tejido tumoral o la ausencia de estos ayudará a clasificar a la enfermedad como alguno de los subtipos conocidos de cáncer de mama.
Estudios de imagen
La importancia de este tipo de estudios está en identificar características del tejido mamario también el identificar la extensión de la enfermedad. Algunos de los más usados son:
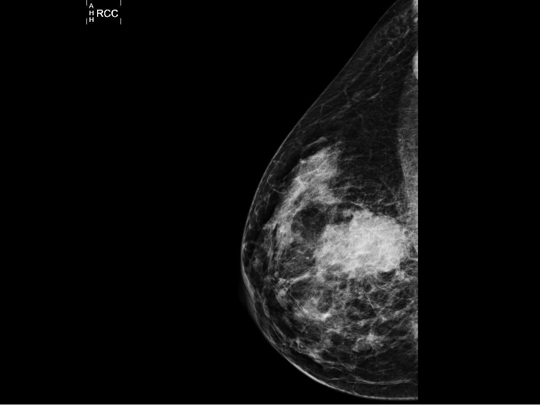
- Mastografía. Estudio de rayos X que permite obtener una imagen bidimensional de la mama para su valoración e identificación de anomalías o tumores.
- Ultrasonido mamario. Estudio que usa ondas sonoras de alta frecuencia para formar imágenes de la estructura de la mama. Puede ser de mucha ayuda en los casos de mamas con mucho componente fibroso. Puede agregarse estudio Doppler para conocer la presencia de circulación sanguínea en las lesiones.
- Tomosíntesis. Estudio basado en tecnología de rayos X pero que forma una imagen con mayor definición que la imagen de la mastografía. No son de uso cotidiano ya que requieren de una cantidad mayor de radiación.
- Resonancia magnética mamaria. Estudio que usa un campo magnético y ondas de radio para la generación de imágenes con mucha mayor definición del tejido mamario. La técnica que requiere hace que no sea un estudio de rutina ya que requiere de mucho tiempo en una posición, ademas de tener un costo mayor que el de otros estudios de imagen. Es un gran auxiliar en casos de personas que sean portadoras de implantes mamarios o con antecedentes de mutaciones.

Medicina nuclear
Los estudios de medicina nuclear aprovechan la característica radioactiva de ciertos materiales para formar imágenes de los tumores en los tejidos con mayor sensibilidad. Por tal motivo, se usan cada vez más como estudios de extensión (estudios que identifican sitios con actividad tumoral diferentes al sitio de inicio de la enfermedad). Los más usados durante el abordaje diagnóstico de cáncer de mama son:
- Gammagrama óseo. Estudio que muestra sitios de cambios metabólico en los huesos. Las imágenes formadas permite identificar posibles metástasis en hueso. Este estudio se ha estado usando cada vez menos ya que puede generar falsos positivos, es decir, imágenes que se podrían interpretar como posibles sitios de actividad tumoral pero que realmente podrían deberse a una causa diferente a la metástasis.
- PET/CT o tomografia por emision de positrones. Estudio dual que combina tecnología de tomografía con medicina nuclear (emisión de positrones). Identifica sitios de mayor concentración de un tipo de azúcar radioactiva generando una imagen con la radiación recibida y que a su vez se combina con la imagen generada por la tecnología de tomografía. Es muy útil como estudio de extension para identificar sitios de metástasis.
Es importante enfatizar que se debe buscar tener el mejor estudio para obtener la mejor información que permita tomar decisiones respecto al plan de tratamiento. Otro punto a considerar es que aunado a contar con el mejor estudio, se debe de contar con el mejor médico especialista (radiólogo, médico nuclear, patólogo) con conocimiento en oncología que pueda identificar cambios propios de una enfermedad oncológica, entre mejor capacitado esté el médico que realice las interpretaciones, mayor confianza se tendrá en la información obtenida.

En caso de requerir estudios para un diagnóstico de cáncer de mama busca siempre especialistas expertos en oncología y en mama (radiólogo oncólogo +/- especialista en mama, médico nuclear con capacitación en oncología, patólogo oncólogo).
Bibliografía:
- https://www.nccn.org/patients/guidelines/content/PDF/invasive-breast-esl-patient2.pdf
- Consenso de Cáncer Mamario, 11va revisión, 2025.

